Služby

Dentální hygiena
Dentální hygiena jako základ stomatologie
Pojem dentální hygiena je pro mnoho lidí dosud neznámý, nicméně je nedílnou součástí stomatologie. Základním předpokladem zdravých zubů a okolních tkání je pečlivá zubní hygiena.
Význam správné ústní hygieny
Správné návyky ústní hygieny a techniky čištění jsou zárukou nejen zdravého chrupu, ale i dlouhé životnosti všech výplní a dentálních náhrad – od implantátů přes korunky a můstky až po snímací náhrady.
Role dentální hygienistky
Proto je součástí péče o Vaše zuby vždy návštěva u dentální hygienistky. Hlavní činností dentální hygienistky je:
- zabránit onemocnění dásní,
- snížit riziko zubního kazu,
- pečovat o pacienty po ošetření zubními implantáty,
- provádět preventivní prohlídky,
- doporučit vhodné dentální pomůcky,
- provádět bezbolestné odstranění zubního kamene, plaku a pigmentů.
Naučí Vás správnou techniku čištění zubů, zacházení s mezizubními kartáčky a dentální nití. Poradí také s výběrem nejvhodnější zubní pasty a ústní vody pro Váš chrup.
Prevence jako investice do zdraví
Správnou hygienickou péčí lze předejít řadě komplikací, které vznikají v důsledku zubního kazu nebo zánětu dásní. Tím je možné nejen ochránit zdraví, ale také ušetřit nemalé finanční prostředky spojené s ošetřením těchto komplikací.
Čištění zubů technikou Air Flow
V rámci dentální hygieny nabízíme také čištění zubů technikou Air Flow. Jedná se o šetrné "pískování", které účinně zbaví zuby nežádoucích skvrn a pigmentací, a zároveň zanechá povrch zubů hladký a přirozeně lesklý.
Dentální hygiena pro každého
Dentální hygienu doporučujeme všem klientům, včetně těch, kteří mají běžnou zubní péči zajištěnu u svého zubního lékaře. Tato péče je důležitým doplňkem pro zachování zdravého a krásného chrupu.
Zaměřujeme se i na dětské pacienty od 5 let věku.






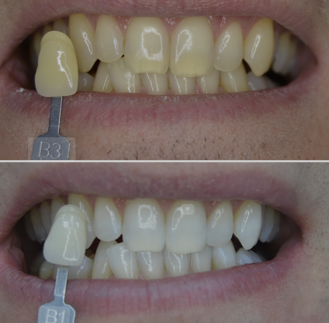
Bělení zubů
Bělení zubů patří k nejúčinnějším a nejšetrnějším ordinačním metodám dostupným na trhu.
Tato technologie zajišťuje jednoduchý, bezpečný a efektivní způsob, jak dosáhnout přirozené bělosti zubů během jedné návštěvy v ordinaci.
Špičková metoda za dostupnou cenu
Metoda bělení zubů se řadí mezi špičkové ordinační metody. Svými výsledky nejenže drží krok s konkurenčními metodami, ale v mnohém je i předčí, a to za podstatně nižší cenu. Zvolíte-li tuto metodu, můžete si být jisti, že jste si vybrali to nejlepší.
Minimální citlivost a bezpečnost zaručena bělení zubů může v některých případech způsobit dočasnou zvýšenou citlivost zubů nebo dásní. U těchto moderních metod je tato citlivost minimální a rychle odezní. Díky důrazu na šetrnost je tato metoda vhodná pro většinu pacientů.
Procedura bělení je navržena s ohledem na maximální bezpečnost. Nejprve jsou na dásně a rty aplikovány ochranné materiály, aby nedošlo ke kontaktu bělicího gelu s měkkými tkáněmi. Poté je na zuby nanesen bělicí gel a spuštěn proces aktivace bělení.
Tato metoda přináší dokonalé výsledky a zároveň respektuje zdraví a pohodlí pacienta.






